+91-11-48-555-555

venkateshwar dental venkateshwar hospital

Crowns & Bridges

crowns bridge

If your teeth suffer a jolt of any untoward event, it is important to consult a Prosthodontist, to minimize the impact on your entire mouth. Missing teeth can allow the surrounding teeth to become displaced. Cracked or damaged teeth should be fixed to save as much of the tooth as possible.
By taking care of dental problems immediately, you minimize the risk of future problems.

  • Crowns fix and protect teeth that are damaged or diseased to the points that they need more support than a simple filling.
  • Bridges replace missing teeth and offer support for the surrounding teeth to help retain the integrity of the jaw and face structure.

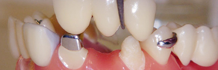
Dental Crowns

Crowns, also known as caps, restore damaged teeth and imitate the shape, size and color of the surrounding teeth. Crowns are indicated for cracked teeth and teeth with deep cavities. To put it simply, they are to protect teeth that have been filled by root-canal treatment; to provide extra support for bridges; and to cover poorly shaped or discolored teeth. Crowns may be made of metal, porcelain, or newer restorative materials like metal free ceramics. They are custom-made and fitted for each patient in accordance with the size and length of the natural teeth. Crowns typically last five to eight years, but can last much longer with proper oral hygiene. Crowns can be made of a variety of materials. They can be made of plastic, ceramic or metal alloys. A combination of metal and ceramic is also possible to maximize strength and simulate the appearance of natural teeth.

The teeth to be crowned are prepared, involves a process of reduction of the tooth size (usually under local anesthesia) followed by an impression or mould of the prepared tooth. This trimming of the tooth is required to create space for the crown to be fitted. The mould taken is then sent to a laboratory where skilled technicians will fabricate the crown. In the meanwhile, a temporary crown is made and fitted onto the trimmed tooth.

Dental Bridges

A bridge stabilizes the bite of a patient who is missing one or more teeth. Bridges prevent the surrounding teeth from moving or shifting in the mouth. A missing tooth that is not replaced may cause surrounding teeth to become unstable and require removal, compromising oral health or change the shape of the face and diminish the beauty of a smile.

Unlike partial dentures, bridges are permanent; patients need not remove them. The missing tooth is replaced with an artificial tooth connected between two crowns (caps), which are permanently cemented or bonded on the adjacent teeth.

Bridges can be used to replace a small number of missing teeth if the neighboring teeth are sufficiently strong. The number of missing teeth, condition of the neighboring teeth, condition of the supporting gums and bone are all important factors which need to be assessed prior to making a bridge.